top of page

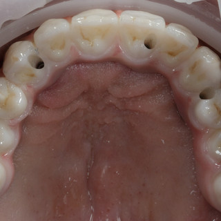
Zolid HT+, bridge vissé "full arch"

  • 18 juin 2018
  • 1 min de lecture

Dernière mise à jour : 22 janv. 2022

Bridge vissé en zircone zolid HT+.

Chirurgie: Docteur Julien Petillo.

Commentaires


Posts à l'affiche
Posts Récents
Archives
Rechercher par Tags
Retrouvez-nous
  • Grey Facebook Icon
BLAB France/Laboratoire F. Beaupere © Copyright 2016

Nom *

Email *

Tél

Sujet

Message

Vos informations ont bien été envoyées !

bottom of page